A rare case of rectal inflammatory myofibroblastic tumor mimicking Crohn disease in a child
- Authors: Glushkova V.A.1, Shcherbakova O.V.2,3, Gabrusskaya T.V.1, Khabibullina L.R.3, Podkamenev А.V.1, Peredereev S.S.1
-
Affiliations:
- Saint Petersburg State Pediatric Medical University
- Federal Scientific and Clinical Center for Children and Adolescents
- Pirogov Russian National Research Medical University
- Issue: Vol 15, No 1 (2025)
- Pages: 109-117
- Section: Case reports
- Submitted: 16.01.2025
- Accepted: 10.02.2025
- Published: 23.04.2025
- URL: https://rps-journal.ru/jour/article/view/1891
- DOI: https://doi.org/10.17816/psaic1891
- ID: 1891
Cite item
Full Text
Abstract
Inflammatory myofibroblastic tumor is a rare type of mesenchymal tumor, predominantly benign but with intermediate malignant potential. This article presents a clinical case of successful surgical treatment of a child with an extremely rare localization of inflammatory myofibroblastic tumor in the rectum (the fourth reported case worldwide), initially misdiagnosed as Crohn disease. A 4-year-old girl presented with diarrhea, blood, and mucus in stool. Examination revealed ulcerative pancolitis and a rectal mass, initially presumed to be of inflammatory origin. Treatment with mesalazine led to clinical improvement; however, follow-up endoscopy showed no significant regression. Therapy was escalated to topical and systemic budesonide, with a positive response, but symptoms recurred after glucocorticoid withdrawal, including ribbon-like feces and painful defecation. High fecal calprotectin levels persisted throughout the observation period. The condition was interpreted as a stricturing form of Crohn disease. Anti-TNF therapy (infliximab) initially led to clinical improvement, but the rectal mass continued to grow, with progressive anal canal stenosis. A decision was made to perform rectal resection with tumor excision. Histopathological examination confirmed the diagnosis of inflammatory myofibroblastic tumor. Due to the overlapping clinical, laboratory, and imaging features of inflammatory myofibroblastic tumor and Crohn disease, differential diagnosis can be challenging, potentially delaying accurate diagnosis. In this case, a child with an extremely rare localization of an inflammatory myofibroblastic tumor successfully underwent radical surgery, resulting in favorable long-term outcomes.
Full Text
ВВЕДЕНИЕ
Воспалительная миофибробластическая опухоль (ВМО) — это редкий тип мезенхимальных опухолей, преимущественно доброкачественных, с промежуточным биологическим потенциалом (частые локальные рецидивы и низкий риск отдаленных метастазов), гетерогенной гистологической картиной и молекулярно-генетическими изменениями, лежащими в основе его развития [1–4]. ВМО встречается с частотой 0,04–0,7%, чаще у девочек; может проявиться в любом возрасте, но наблюдается, в основном, у детей [5–7]. По структуре ВМО представляет собой солидное образование с локально агрессивным ростом, наличием лимфоплазмоцитарной инфильтрации, пролиферацией веретенообразных или эпителиоидных миофибробластов, а также признаками хронического воспаления [6].
Локализация опухоли разнообразна, преимущественно поражаются легкие [8]. Среди экстрапульмональных в 65% случаев отмечается интраабдоминальная локализация: селезенка, печень, желудок, кишечник, брыжейка [5, 6, 8–10]. ВМО толстой кишки встречается редко, расположение опухоли в восходящем отделе достигает 25%, в поперечно-ободочной кишке — 15%, в слепой — 13%, в сигмовидной и нисходящей — по 10% наблюдений [11]. Поражение прямой кишки у детей является крайне редкой локализацией ВМО [12, 13]. В мировой литературе на сегодняшний день опубликовано всего 9 случаев, и лишь 3 из них — в детском возрасте [8, 12, 13]. В отечественной литературе подобных описаний ВМО у детей нет. Основной способ лечения ВМО — хирургический [5, 14, 15].
Исследования последних лет доказали роль хромосомных транслокаций генов ALK, ROS1, NTRK, PDGRFb, RET в патогенезе заболевания, что позволило расширить терапевтические опции при невозможности первичного удаления опухоли или ее рецидиве [1, 16].
Приводим описание клинического случая крайне-редкой локализации ВМО у ребенка, длительно наблюдающегося с болезнью Крона толстой кишки.
ОПИСАНИЕ СЛУЧАЯ
Девочка, 5 лет (2016 г. р.), поступила в сентябре 2021 г. в клинику Педиатрического университета (СПбГПМУ) с жалобами на лентовидный стул и болезненную дефекацию. Из анамнеза известно, что ребенок родился от 2-й доношенной беременности, протекавшей без патологии. Наследственность не отягощена. До 1,5 лет находилась на грудном вскармливании. Росла и развивалась по возрасту.
Жалобы на вздутие живота появились за год до госпитализации — в сентябре 2020 г., через месяц отмечено ухудшение состояния (жидкий стул до 6 раз в сутки с примесью крови и слизи), в связи с чем девочка была обследована в одном из городских стационаров Санкт-Петербурга с клиникой гастроэнтерита. Проведен курс антибактериальной терапии (цефепим), жалобы купированы. Однако в декабре 2020 г. возобновился колитический синдром (диарея, примеси крови и слизи в стуле), обследована повторно, по результатам фиброколоноскопии (ФКС) выявлен эрозивный панколит, опухолевидное образование в прямой кишке, предположительно воспалительного генеза, и сужение просвета анального канала (из протокола: «…колоноскоп над зубчатой линией проходит с трудом»). Фекальный кальпротектин (ФК) повышен до 634 мкг/г (норма до 50). По данным гистологического исследования: хронический гранулематозный панколит с эрозивно-язвенным поражением. Пациентке выставлен диагноз болезни Крона, начата терапия месалазином (перорально и per rectum). На фоне проводимой терапии жалобы на кровь в стуле купированы, но сохранялся лентовидный стул. Контрольное эндоскопическое исследование проведено через 4 мес. (апрель 2021 г.), отмечена схожая эндоскопическая картина. Усилена консервативная терапия — назначены топические и системные гормоны будесонида (перорально и per rectum), а также иммуносупрессоры (азатиоприн). На фоне терапии клинико-лабораторная ремиссия, снижение фекального кальпротектина до 173 мкг/г. После отмены будесонида вновь появился лентовидный стул, уровень ФК вырос до 1250 мкг/г. Терапия азатиоприном и будесонидом продолжена.
При первом поступлении в клинику Педиатрического университета (сентябрь, 2021 г.) девочке проведено обследование: лабораторно — признаков воспалительной активности нет. ФК — 426 мкг/г. По данным ФКС: в терминальном отделе подвздошной кишки и толстой кишке воспалительных изменений нет, по передней стенке прямой кишки визуализируется образование фиброзной плотности, размерами 4×1,0 см с налетом фибрина. По результатам гистологического исследования: диффузная лимфоплазмоцитарная инфильтрация с примесью нейтрофильных и эозинофильных лейкоцитов, без нарушения архитектоники крипт. В анализе кала выявлены токсины Clostridium difficile, проведен курс терапии метронидазолом.
При осмотре под наркозом в ректальных зеркалах (октябрь 2021 г.) визуализирован стеноз анального канала и опухолевидное образование по передней стенке прямой кишки, выполнена биопсия образования и бужирование анального стеноза (до размера бужа № 15). По результатам гистологического исследования: данных о наличии опухолевого процесса нет, грануляционная ткань. Проведен курс местной противорубцовой и противовоспалительной терапии (свечи с гиалуронидазой и лидокаином). По результатам магнитно-резонансной томографии (МРТ) малого таза в ноябре 2021 г. диагностирован стеноз в анальном канале, выявлено образование по передней стенке анального канала в подслизистом отделе, а также визуализирован интерсфинктерный свищ без гнойного затека. Была инициирована генно-инженерно-биологическая терапия препаратами анти-ФНО. Самочувствие девочки улучшилось, однако сохранялся повышенный уровень ФК (800–1800 мкг/г).
Через год после первого обращения в клинику СПбГПМУ (август 2022 г.) вновь появились жалобы на примесь крови в стуле и лентовидную форму кала. При ректальном осмотре под наркозом отмечено усугубление стеноза в анальном канале, с трудом проходил буж № 13.
В возрасте 6 лет (октябрь 2022 г.) девочка поступила на лечение в хирургическое отделение Российской детской клинической больницы Москвы. Проведено комплексное обследование:
- Ультразвуковое исследование — прямая кишка локально утолщена, нарушена дифференцировка стенок, кровоток в стенке умеренно усилен, наружный диаметр до 34 мм, толщина стенки до 12 мм. Мезентериальные лимфоузлы не изменены. Заключение: воспалительные изменения стенок прямой кишки.
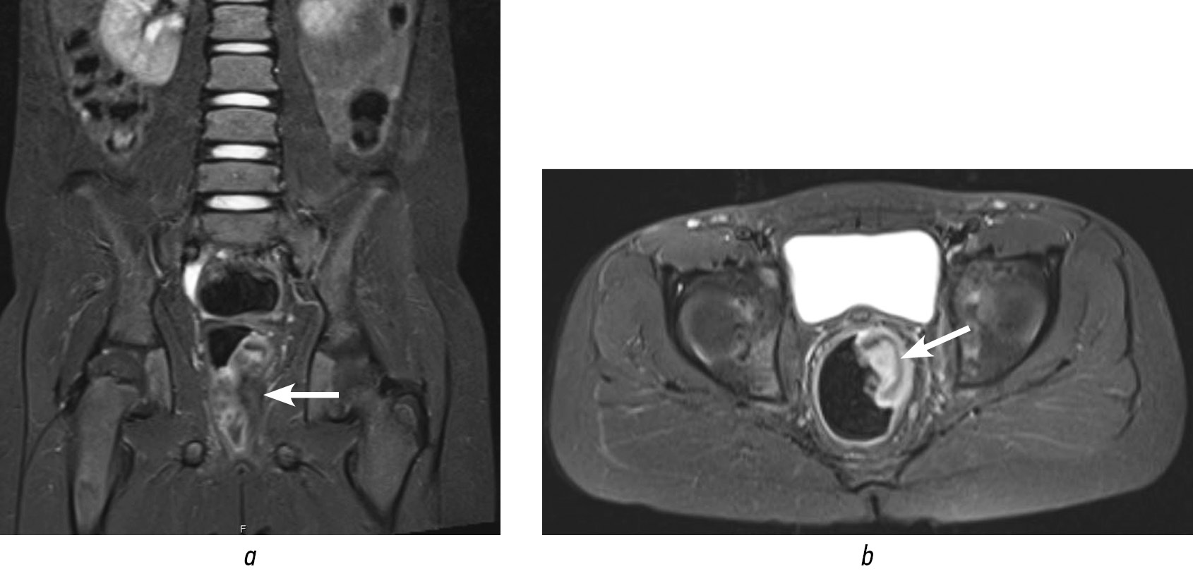
- МРТ малого таза (рис. 1): стенка прямой кишки расслоена, просвет ампулы сужен за счет крупного дополнительного, очевидно, подслизистого, образования, выступающего в просвет кишки, бобовидной формы, размерами 22×33×45 мм, в нижних отделах с неровными краями. Параректальная клетчатка гипертрофирована. Ретроректально увеличенный лимфоузел 6 мм. Заключение: геморрагически-воспалительный субстрат? Геморрагически-некротическое новообразование/полип?
- Эзофагогастродуоденоскопия — патологии не выявлено.
- ФКС — аппарат заведен на 3 см в прямую кишку, далее визуализируется щелевидное сужение просвета, непроходимое для аппарата 9 мм в диаметре. Слизистая оболочка прямой кишки на осмотренном участке розовая, гладкая блестящая, сосудистый рисунок равномерный. В области сужения просвета слизистая оболочка умеренно отечная, незначительно гиперемирована, рыхлая, при инструментальной пальпации каменистой плотности, определяется линейный язвенный дефект до 1,5 см, глубиной до 2 мм с фибрином на дне. Взята биопсия со слизистой оболочки прямой кишки на уровне стеноза и с язвы в области стеноза. Слизистая оболочка при взятии биопсии не тянется, фрагментируется. Заключение: стеноз просвета прямой кишки. Язва прямой кишки.
Рис. 1. Магнитно-резонансная томограмма. Фронтальный (а) и поперечный (b) срезы. Визуализируется образование прямой кишки, суживающее просвет (указано стрелкой).
Fig. 1. Magnetic resonance imaging. Frontal (a) and transverse (b) sections showing a rectal mass narrowing the lumen (indicated by an arrow).
Гистологическое исследование — фрагмент слизистой оболочки толстой кишки до подслизистого слоя с нарушенной архитектурой за счет фиброза, ветвления и неравномерного расположения крипт и сохраненным кишечным эпителием. Умеренно выраженная лимфоплазмоцитарная инфильтрация собственной пластинки слизистой оболочки с наличием вторичных лимфатических фолликулов, с примесью сегментоядерных лейкоцитов, инфильтрацией ими части крипт. Заключение: признаки неспецифического активного умеренно выраженного хронического воспаления.
Компьютерная томография (КТ) с внутривенным контрастированием. Описанное на МРТ образование левой стенки ампулы прямой кишки, стенозирующее просвет, на КТ имеет неоднородную структуру, с наличием высокоплотного кальцината неправильной формы, характеризуется активным периферическим КУ в раннюю/артериальную фазу контрастирования. Образование локализовано в подслизистом слое, имеет бобовидную форму, размерами 20×33×45 мм, в верхних отделах расположена на левой стенке, в нижних с переходом на переднюю стенку, стенозирует просвет кишки на 65%. Стенка анального канала и терминального отдела прямой кишки циркулярно утолщена до 9 мм, просвет не определяется, отмечаются участки неоднородного накопления контраста. Параректальная клетчатка умеренно гипертрофирована, вены параректального сплетения расширены. Ретроректально определяется увеличенный округленный лимфоузел 7 мм в диаметре. В целом, по данным КТ описанное образование следует дифференцировать между подслизистым новообразованием кишки (SMT-карцинома, GIST) с гранулематозным поражением.
Тактика обсуждена с онкологами, решено выполнить ревизию под наркозом и расширенную открытую биопсию опухолевидного образования прямой кишки (рис. 2).
Рис. 2. Осмотр анального канала под наркозом. Визуализация опухолевидного образования прямой кишки по передней стенке (указано стрелкой).
Fig. 2. Examination of the anal canal under anesthesia. Tumor-like mass of the rectum visualized on the anterior wall (indicated by an arrow).
Гистологическое исследование биоптатов:
- Фрагмент мышечной ткани с нервными волокнами и сосудами.
- Фрагмент обильно васкуляризированной грануляционной ткани.
- Фрагмент фиброзной ткани с сосудами.
- Фрагмент слизистой оболочки толстой кишки с выраженным эффектом каутеризации, фиброзированная подслизистая оболочка.
Заключение: в исследованном материале признаков опухолевого роста не выявлено.
Принято коллегиальное решение о возможности проведения радикальной резекции прямой кишки с опухолевидным образованием с формированием первичного анастомоза и превентивной сигмостомией. Выполнена операция: ассистированная лапароскопическая резекция прямой кишки с опухолью, формирование ректоанального анастомоза, наложение двуствольной сигмостомы (17.11.2022).
Лапароскопический этап включал мобилизацию прямой кишки с рассечением париетальной брюшины и пересечением сосудов. На промежностном этапе выполнен циркулярный разрез прямой кишки на уровне дистальной границы опухоли, с помощью моно- и биполярной коагуляции проведена мобилизация дистального отдела прямой кишки на протяжении 7–8 см (рис. 3). Прямая кишка низведена и резецирована, сформирован ректоанальный анастомоз.
Рис. 3. Промежностный этап операции. Мобилизованная прямая кишка с новообразованием (проксимальная граница резекции указана пинцетом).
Fig. 3. Perineal stage of surgery. Mobilized rectum with the tumor (proximal resection margin indicated by forceps).
Послеоперационный период протекал без хирургических осложнений. Стома функционировала со 2-х суток. Послеоперационные раны зажили первичным натяжением. Интубатор из прямой кишки удален на 6-е послеоперационные сутки.
Патоморфологическое исследование. Фрагменты толстой кишки с ростом в стенке солидной опухоли узлового строения. Неопластическая ткань из полей веретеновидных или вытянутых клеток среднего размера. Ядра без признаков атипии. Большое количество коллагеновых волокон в строме, участки кальцификации. Скопления клеток продуктивного воспаления. Митотической активности нет. В отдельном фрагменте — жировая клетчатка с лимфатическим узлом без опухолевого роста. Иммуногистохимическое исследование: клетки опухоли фокально позитивны к анти-SMA, отрицательные реакции с анти-ALK, Desmin, PCK, CD117, CD34. Пролиферативная активность по уровню экспрессии Ki67 составляет 10%. Заключение: воспалительная миофибробластическая опухоль.
Через 2 мес. после операции (17.01.2023) выполнена фиброректороманоскопия, по данным которой патологии в области анастомоза не выявлено, воспалительных изменений в толстой кишке нет. Проведена реконструктивная операция с закрытием сигмостомы и восстановлением непрерывности кишечника.
При молекулярно-генетическом исследовании (20.02.2024) выявлена транслокация гена ROS1.
Через 2 года после операции (ноябрь 2024 г.) проведено контрольное обследование в хирургическом отделении СПбГПМУ. Жалоб нет, девочка растет и развивается по возрасту. Стул ежедневный, оформленный, до двух раз в сутки. На фоне избыточной энтеральной нагрузки — с повышенным количеством газообразующих продуктов — отмечались редкие эпизоды каломазания. По данным МРТ малого таза с внутривенным контрастированием — в зоне анастомоза без признаков рецидива заболевания (рис. 4).
Рис. 4. Магнитно-резонансная томограмма. Визуализируется «неоректум» и зона ректоанального анастомоза без признаков деформации просвета и локального рецидива.
Fig. 4. Magnetic resonance imaging. Visualization of the neo-rectum and the rectoanal anastomosis area without signs of lumen deformation or local recurrence.
ОБСУЖДЕНИЕ
Клиническая картина при внутрибрюшной локализации воспалительной миофибробластической опухоли, наряду с пальпируемым образованием, может проявляться болевым абдоминальным синдромом, симптомами компрессии окружающих опухоль структур, лихорадкой и задержкой роста [11]. Лабораторные исследования могут отражать общие воспалительные процессы в организме: лейкоцитоз, гипохромную микроцитарную анемию, увеличение скорости оседания эритроцитов, тромбоцитоз, а также повышение уровня С-реактивного белка [13, 15]. Все эти симптомы заставляют заподозрить воспалительное заболевание кишечника, в частности болезнь Крона, у пациента. При этом изменения при лучевых методах диагностики чаще всего не являются специфичными [10]. Типичная эндоскопическая картина ВМО прямой кишки представляет подслизистое образование, пролабирующее в просвет, с изъязвлением слизистой оболочки [13]. Дифференциальный диагноз проводится с воспалительной фибросаркомой, гастроинтестинальной стромальной опухолью и десмоидным фиброматозом [10]. Неблагоприятный прогноз вероятен при невозможности полного удаления опухоли, что зависит от расположения и инвазивности в окружающие ткани, также при рецидивирующей или остаточной ВМО повышается риск злокачественной дегенерации или трансформации в лимфому [15].
Болезнь Крона — хроническое иммунопатологическое воспалительное заболевание кишечника неясной этиологии с возможным развитием местных и системных осложнений [17]. Перианальное поражение при осложненной форме болезни Крона проявляется параректальными свищами и/или формированием стриктуры дистального отдела прямой кишки и могут предшествовать или сочетаться с воспалительными очагами в других отделах желудочно-кишечного тракта.
В данном клиническом случае наличие диарейного и колитического синдромов (вздутие живота, учащение и разжижение стула, гематохезия), лабораторных признаков воспаления, эндоскопических изменений (панколит, эрозивно-язвенный проктит) и исключение злокачественной природы образования в прямой кишке (по данным гистологических исследований) первично склонили лечащих врачей в пользу диагноза: «Болезнь Крона, стриктурирующая форма с перианальным поражением и ранним дебютом заболевания». В пользу данного диагноза также говорил положительный клинический ответ на проводимую противовоспалительную терапию. Однако сохранение жалоб на лентовидный стул, отсутствие клинико-лабораторной и эндоскопической ремиссии, нарастающее сужение просвета прямой кишки (несмотря на регулярное бужирование и местную противовоспалительную терапию) побудило к проведению дополнительных методов обследования ребенка и поиску истинной причины заболевания. Верификация диагноза стала возможна только по результатам морфологического и иммуногистохимического исследования резецированного отдела прямой кишки с опухолью. Выявленная у девочки транслокация гена ROS1 способна помочь в подборе таргетной терапии при местном рецидиве или прогрессировании заболевания.
В представленном клиническом наблюдении ребенку с ВМО крайне-редкой локализации удалось выполнить радикальную операцию с хорошими отдаленными результатами, однако пациенту необходимо продолжение диспансерного наблюдения с регулярными инструментальными исследованиями.
ЗАКЛЮЧЕНИЕ
Диагноз воспалительной миофибробластической опухоли является нередко диагнозом исключения и, как правило, подтверждается только после эксцизионной (тотальной) биопсии. Молекулярно-генетический анализ необходимо проводить в сложных случаях, при невозможности радикального удаления ВМО, с целью подбора таргетной терапии, либо в послеоперационном периоде, учитывая вероятный риск рецидива. Представленный клинический случай подчеркивает необходимость тесного сотрудничества на каждом этапе ведения пациента врачей различных специальностей, а также совместного обсуждения и повторного пересмотра диагноза в случае, если течение заболевания носит необычный резистентный к стандартной терапии характер.
ДОПОЛНИТЕЛЬНАЯ ИНФОРМАЦИЯ
Вклад авторов. В.А. Глушкова — курация, лечение пациента, дизайн и концепция статьи, поиск литературы, написание текста; O.B. Щербакова — хирургическое лечение пациента, написание текста статьи; Т.В. Габрусская — курация, лечение пациента, подготовка написания текста статьи; Л.Р. Хабибуллина — курация, хирургическое лечение пациента; А.В. Подкаменев — анализ литературных источников, редактирование статьи; С.С. Передереев — подготовка текста статьи, редактирование. Авторы одобрили версию для публикации, а также согласились нести ответственность за все аспекты работы, гарантируя надлежащее рассмотрение и решение вопросов, связанных с точностью и добросовестностью любой ее части.
Согласие на публикацию. Авторы получили письменное информированное добровольное согласие законных представителей пациента на публикацию персональных данных, в том числе фотографий, в научном журнале, включая его электронную версию. Объем публикуемых данных с законными представителями пациента согласован.
Источники финансирования. Отсутствуют.
Раскрытие интересов. Авторы заявляют об отсутствии отношений, деятельности и интересов за последние три года, связанных с третьими лицами (коммерческими и некоммерческими), интересы которых могут быть затронуты содержанием статьи.
Генеративный искусственный интеллект. При создании настоящей статьи технологии генеративного искусственного интеллекта не использовали.
ADDITIONAL INFO
Authors’ contribution. V.A. Glushkova, patient supervision, article design and concept, literature search, text writing; O.V. Shcherbakova, surgical treatment of patient, manuscript writing; T.V. Gabrusskaya, patient supervision, collection of literary sources, preparation of writing the text of the article; L.R. Khabibullina, surgical treatment of patient, literature search; A.V. Podkamenev, analysis of literary sources, provided critical reagents and samples; S.S. Peredereev, preparation of writing the text of the article, provided critical reagents and samples
Consent for publication. The authors received written informed voluntary consent from patients to publish personal data in a scientific journal, including its electronic version. The scope of published data was agreed with the patients.
Funding sources. No funding.
Disclosure of interests. The authors have no relationships, activities or interests for the last three years related with for-profit or not-for-profit third parties whose interests may be affected by the content of the article.
Generative AI. Generative AI technologies were not used for this article creation.
About the authors
Victoria A. Glushkova
Saint Petersburg State Pediatric Medical University
Author for correspondence.
Email: pedsurgspb@yandex.ru
ORCID iD: 0009-0002-4768-1539
SPIN-code: 8703-3966
Россия, Saint Petersburg
Olga V. Shcherbakova
Federal Scientific and Clinical Center for Children and Adolescents; Pirogov Russian National Research Medical University
Email: Shcherbakovaov@kidsfmba.ru
ORCID iD: 0000-0002-8514-3080
SPIN-code: 3478-8606
Russian Children’s Clinical Hospital, MD, Dr. Sci. (Medicine)
Россия, Moscow; MoscowTatyana V. Gabrusskaya
Saint Petersburg State Pediatric Medical University
Email: tatyanagabrusskaya@yandex.ru
ORCID iD: 0000-0002-7931-2263
SPIN-code: 2853-5956
MD, Cand. Sci. (Medicine), Assistant Professor
Россия, Saint PetersburgLinara R. Khabibullina
Pirogov Russian National Research Medical University
Email: Habibull.lin@yandex.ru
ORCID iD: 0000-0002-1515-0699
SPIN-code: 7241-8029
Russian Children’s Clinical Hospital
Россия, MoscowАleksey V. Podkamenev
Saint Petersburg State Pediatric Medical University
Email: av.podkamenev@gpmu.org
ORCID iD: 0000-0001-6006-9112
SPIN-code: 7052-0205
MD, Dr. Sci. (Medicine), Assistant Professor
Россия, Saint PetersburgSergey S. Peredereev
Saint Petersburg State Pediatric Medical University
Email: speredereev@yandex.ru
ORCID iD: 0000-0002-9380-8150
SPIN-code: 6046-6407
MD, Cand. Sci. (Medicine)
Россия, Saint PetersburgReferences
- Suleymanova AM, Kachanov DYu, Imyanitov EN, et al. Inflammatory myofibroblastic tumors in children: literature review. Russ J Pediatr Hematol Oncol. 2020;7(2):64015–77. doi: 10.21682/2311-1267-2020-7-2-64-77 EDN: CSEPBX
- Da M, Qian B, Mo X, et al. Inflammatory myofibroblastic tumors in children: a clinical retrospective study on 19 cases. Front Pediatr. 2021;9. doi: 10.3389/fped.2021.543078 EDN: CGUBLK
- Lopez-Nunez O, John I, Panasiti RN, et al. Infantile inflammatory myofibroblastic tumors: clinicopathological and molecular characterization of 12 cases. Mod Pathol. 2020;33(4):576–590. doi: 10.1038/s41379-019-0406-6 EDN: NVFBHS
- Sbaraglia M, Bellan E, Dei Tos AP. The 2020 WHO Classification of Soft Tissue Tumours: news and perspectives. Pathologica. 2020;113(2):70–84. doi: 10.32074/1591-951X-213 EDN: AJSBLT
- Soyer T, Talim B, Karnak İ, et al. Surgical treatment of childhood inflammatory myofibroblastic tumors. Eur J Pediatr Surg. 2017;27(04):319–323. doi: 10.1055/s-0036-1593380
- Kovach SJ, Fischer AC, Katzman PJ, et al. Inflammatory myofibroblastic tumors. J Surg Oncol. 2006;94(5):385–391. doi: 10.1002/jso.20516
- Mahajan P, Casanova M, Ferrari A, et al. Inflammatory myofibroblastic tumor: molecular landscape, targeted therapeutics, and remaining challenges. Curr Probl Cancer. 2021;45(4):100768. doi: 10.1016/j.currproblcancer.2021.100768 EDN: LSKGIA
- Coffin CM, Watterson J, Priest JR, Dehner LP. Extrapulmonary inflammatory myofibroblastic tumor (inflammatory pseudotumor) a clinicopathologic and immunohistochemical study of 84 cases. Am J Surg Pathol. 1995;19(8):859–872. doi: 10.1097/00000478-199508000-00001
- Dalton BGA, Thomas PG, Sharp NE, et al. Inflammatory myofibroblastic tumors in children. J Pediatr Surg. 2016;51(4):541–544. doi: 10.1016/j.jpedsurg.2015.11.015
- Chmiel P, Słowikowska A, Banaszek Ł, et al. Inflammatory myofibroblastic tumor from molecular diagnostics to current treatment. Oncol Res. 2024;32(7):1141–1162. doi: 10.32604/or.2024.050350
- Karaisli S, Kamer E, Ekinci N, et al. Inflammatory myofibroblastic tumour of the colon: 2 case reports and a comprehensive review of the literature. Int J Colorectal Dis. 2020;35(5):947–958. doi: 10.1007/s00384-020-03522-0 EDN: YSLWHQ
- Zhou X, Luo C, Lv S, Gan M. Inflammatory myofibroblastic tumor of the rectum in a 13-month-old girl: a case report. J Pediatr Surg. 2011;46(7):e1–e4. doi: 10.1016/j.jpedsurg.2011.03.011
- Oh HH, Joo YE. Rectal inflammatory myofibroblastic tumor: Case report and literature review. Medicine (Baltimore). 2021;100(33): e27008. doi: 10.1097/MD.0000000000027008 EDN: NXSKBC
- Rich BS, Fishbein J, Lautz T, et al. Inflammatory myofibroblastic tumor: a multi-institutional study from the pediatric surgical oncology research collaborative. Int J Cancer. 2022;151(7):1059–1067. doi: 10.1002/ijc.34132 EDN: GUXFVK
- Karnak İ, Şenocak ME, Ciftci AO, et al. Inflammatory myofibroblastic tumor in children: Diagnosis and treatment. J Pediatr Surg. 2001;36(6):908–912. doi: 10.1053/jpsu.2001.23970
- Wang QA, Chen HW, Wu RC, Wu CE. Update of diagnosis and targeted therapy for Alk+ inflammation myofibroblastic tumor. Curr Treat Options Oncol. 2023;24(12):1683–1702. doi: 10.1007/s11864-023-01144-6 EDN: DQYGZO
- Kornienko EA, Khavkin AI, Fedulova EN, et al. Draft recommendations of the Russian society of pediatric gastroenterology, hepatology and nutrition on diagnosis and treatment of Crohn’s disease in children. Experimental and Clinical Gastroenterology. 2019;(11(171)):100–134. doi: 10.31146/1682-8658-ecg-171-11-100-134 EDN: CFTALD
Supplementary files








