Кистозные образования поджелудочной железы у детей: диагностика и хирургическая тактика
- Авторы: Соколов Ю.Ю.1, Ефременков А.М.1,2, Донской Д.В.1,3, Ахматов Р.А.1,3, Зыкин А.П.1,2, Кауфов М.Х.1, Шапкина А.Н.4, Барская К.А.1
-
Учреждения:
- Российская медицинская академия непрерывного профессионального образования
- Центральная клиническая больница с поликлиникой Управления делами Президента Российской Федерации
- Детская городская клиническая больница святого Владимира
- Дальневосточный федеральный университет
- Выпуск: Том 13, № 2 (2023)
- Страницы: 133-145
- Раздел: Оригинальные исследования
- Дата подачи: 07.03.2023
- Дата принятия к публикации: 26.05.2023
- Дата публикации: 15.07.2023
- URL: https://rps-journal.ru/jour/article/view/1506
- DOI: https://doi.org/10.17816/psaic1506
- ID: 1506
Цитировать
Полный текст
Аннотация
Актуальность. Хирургическое лечение кистозных образований поджелудочной железы — один из наиболее сложных разделов хирургии детского возраста. В диагностическом плане у детей с кистозными образованиями поджелудочной железы проблематичными остаются вопросы дифференциальной диагностики, определение связи полости кисты с главным панкреатическим протоком. В последнее время появляются публикации о применении в педиатрической практике эндоскопической ультрасонографии, которая позволяет с высокой точностью визуализировать паренхиму и протоковую систему поджелудочной железы, что значительно облегчает проведение миниинвазивных операций.
Цель — изучить результаты лечения детей с кистозными образованиями поджелудочной железы с применением современных лучевых методов диагностики и мининвазивных хирургических технологий.
Материалы и методы. Работа основана на анализе результатов лечения 66 больных — 30 (45,5 %) мальчиков и 36 (54,5 %) девочек, в возрасте от 6 мес. до 18 лет, средний возраст — 10,9 ± 5,2 года — с экстрапаренхиматозными и интрапаренхиматозными кистами поджелудочной железы.
Результаты. Для дифференциальной диагностики интра- и экстрапаренхиматозных кистозных образований поджелудочной железы наибольшей информативностью обладают мультиспиральная компьютерная томография (Se 90 %, Sp 91 %, Ac 91 %; p < 0,05) и магнитно-резонансная томография (Se 96 %, Sp 94 %, Ac 95 %; p < 0,05). При экстрапаренхиматозных кистах размерами до 6 см с тонкой стенкой в раннем сроке заболевания эффективна консервативная терапия. При длительном (более 2 мес.) существовании панкреатических псевдокист возможно выполнение как наружного (42,4 %), так и внутреннего (51,3 %) дренирования кист. Показания к симультанной продольной панкреатоеюностомии могут возникать у 9,5 % больных. Иссечение псевдокисты с резекцией поджелудочной железы может потребоваться в 4,7 % случаев. При интрапаренхиматозных кистах возникает необходимость в энуклеации кистозного образования в 33,3 %, в дистальной спленосохраняющей резекции поджелудочной железы — в 25 %, в центральной резекции поджелудочной железы с наложением дистального панкреатоеюноанастомоза — в 25 %, в пилоросохраняющей панкреатодуоденальной резекции — в 12,5 % случаев. При этом 70,8 % оперативных вмешательств на поджелудочной железе у детей могут быть выполнены лапароскопическим доступом с частотой конверсий в 12,5 % случаях.
Заключение. Выбор объема оперативного вмешательства у детей с кистами поджелудочной железы определяется этиологией, размерами кисты, локализацией, связью с главным панкреатическим протоком, степенью вовлечения паренхимы в опухолевый процесс. Большинство операций на поджелудочной железе проходит из миниинвазивных доступов.
Полный текст
АКТУАЛЬНОСТЬ
Кистозные образования поджелудочной железы (ПЖ) — это неоднородная группа врожденных и приобретенных заболеваний. Относительно редкая встречаемость данной патологии, особенности топографо-анатомического взаимоотношения органов панкреатобилиарной области, необходимость в сложных реконструктивных операциях требуют разработанных тактических подходов к лечению данной группы больных [1].
Внедрение современных методов лучевой диагностики, таких как трансабдоминальное ультразвуковое исследование (УЗИ), эндоскопическая ультрасонография (ЭУС), мультиспиральная компьютерная томография (МСКТ), магнитно-резонансная томография (МРТ), магнитно-резонансная холангиопанкреатография (МРХПГ), позволяют оптимизировать подходы к диагностике кистозных образований ПЖ [2–4].
Широкое внедрение в детскую хирургию лапароскопических, а в последнее время и внутрипросветных вмешательств позволяет выполнять операции на ПЖ из миниинвазивных доступов [5].
Цель — изучить результаты лечения детей с кистозными образованиями ПЖ с применением современных лучевых методов диагностики и мининвазивных хирургических технологий.
МАТЕРИАЛЫ И МЕТОДЫ
Работа основана на анализе результатов лечения 66 больных — 30 (45,5 %) мальчиков и 36 (54,5 %) девочек — в возрасте от 6 мес. до 18 лет, средний возраст — 10,9 ± 5,2 года. Все пациенты были разделены на 2 группы:
1) с экстрапаренхиматозными кистами ПЖ — 42 (63,6 %), парапанкреатические жидкостные скопления, панкреатические псевдокисты;
2) с интрапаренхиматозными кистозными образованиями ПЖ — 24 (36,4 %), опухолевые кистозные образования, неопухолевые кистозные образования, паразитарные кисты (табл. 1, 2).
Таблица 1. Распределение пациентов с экстрапаренхиматозными кистами поджелудочной железы в зависимости от этиологии и пола
Table 1. Distribution of patients with extraparenchymatous pancreatic cysts depending on etiology and gender
Этиология | Количество | Мальчики | Девочки | |||
абс. | % | абс. | % | абс. | % | |
Травматический панкреатит | 21 | 50 | 15 | 35,7 | 6 | 14,3 |
Острый панкреатит | 17 | 40,5 | 9 | 21,4 | 8 | 19 |
Хронический панкреатит | 4 | 9,5 | 2 | 4,8 | 2 | 4,8 |
Всего | 42 | 100 | 26 | 61,9 | 16 | 38,1 |
Таблица 2. Распределение пациентов с интрапаренхиматозными кистозными образованиями поджелудочной железы в зависимости от этиологии и пола
Table 2. Distribution of patients with intraparenchymatous pancreatic cysts depending on etiology and gender
Этиология | Количество | Мальчики | Девочки | |||
абс. | % | абс. | % | абс. | % | |
Опухолевые кистозные образования | 17 | 70,8 | 2 | 8,4 | 15 | 62,5 |
Неопухолевые кистозные образования | 5 | 20,8 | 2 | 8,4 | 3 | 12,5 |
Паразитарные кисты | 2 | 8,4 | 1 | 4,1 | 1 | 4,1 |
Всего | 24 | 100 | 5 | 20,9 | 19 | 79,1 |
В программе обследования пациентов, наряду с данными объективного осмотра, оценкой показателей клинического и биохимического анализов крови, определения уровня панкреатических ферментов, были применены лучевые методы диагностики: УЗИ, выполненное 66 (100 %) пациентам, МСКТ с внутривенным контрастированием — 57 (86,4 %), МРТ — 45 (69,7 %), МРХПГ — 11 (16,7 %), ЭУС — 9 (13,6 %) пациентам.
При экстрапаренхиматозных кистах ПЖ консервативное лечение применено у 9 (21,4 %) больных. Оперативные вмешательства выполнены 33 (78,6 %) пациентам.
При интрапаренхиматозных кистозных образованиях ПЖ были оперированы все 24 пациента.
РЕЗУЛЬТАТЫ
Анализ клинических симптомов и частота встречаемости представлены в табл. 3.
Таблица 3. Клинические симптомы кистозных образований поджелудочной железы
Table 3. Clinical symptoms of pancreatic cystic formations
Клинические проявления | Количество | Экстрапаренхиматозные | Интрапаренхиматозные | ||
абс. | % | абс. | % | ||
Боль | 49 (74,2 %) | 38 | 77,6 | 11 | 22,4 |
Диспептические проявления | 26 (39,4 %) | 21 | 80,8 | 5 | 19,2 |
Пальпируемое образование брюшной полости | 11 (16,7 %) | 4 | 36,4 | 7 | 63,6 |
Симптомы интоксикации | 8 (12,1 %) | 8 | 100 | 0 | 0 |
Желтуха | 1 (1,5 %) | 0 | 0 | 1 | 100 |
Желудочно-кишечное кровотечение | 1 (1,5 %) | 0 | 0 | 1 | 100 |
Бессимптомное течение | 7 (10,6 %) | 1 | 14,3 | 6 | 85,7 |
Всего | 66 пациентов | ||||
Средний размер экстрапаренхиматозных кист ПЖ составил 71,3 ± 26,5 мм, интрапаренхиматозных кист — 46,2 ± 17,8 мм.
Данные о локализации кистозных образований ПЖ представлены в табл. 4 и 5.
Таблица 4. Локализация экстраперенхиматозных кист поджелудочной железы
Table 4. Localization of extraparenchymatous pancreatic cysts
Локализация | Единичные | Множественные | Всего | |||
абс. | % | абс. | % | абс. | % | |
Сальниковая сумка | 36 | 85,7 | 3 | 7,1 | 39 | 92,8 |
Брюшная полость | 1 | 2,4 | – | – | 1 | 2,4 |
Сальниковая сумка + брюшная полость | – | – | 1 | 2,4 | 1 | 2,4 |
Сальниковая сумка + заднее средостение | – | – | 1 | 2,4 | 1 | 2,4 |
Таблица 5. Локализация интрапаренхиматозных кист поджелудочной железы
Table 5. Localization of intraparenchymatous pancreatic cysts
Локализация | Количество | |
абс. | % | |
Головка | 6 | 25 |
Перешеек | 3 | 12,5 |
Тело | 7 | 29,2 |
Хвост | 8 | 33,3 |
Данные о чувствительности (Se), специфичности (Sp) и точности (Ac) различных лучевых методов при дифференциальной диагностике кистозных образований ПЖ представлены в табл. 6.
Таблица 6. Информативность лучевых методов в дифференциальной диагностике кист поджелудочной железы
Table 6. Informativeness of instrumental methods in the differential diagnosis of pancreatic cysts
Метод | Se, % | Sp, % | Ac, % |
Ультразвуковое исследование | 79 | 83 | 80 |
Мультиспиральная компьютерная томография | 90 | 91 | 91 |
Магнитно-резонансная холангиопанкреатография | 96 | 94 | 95 |
Эндоскопическая ультрасонография | 100 | 75 | 89 |
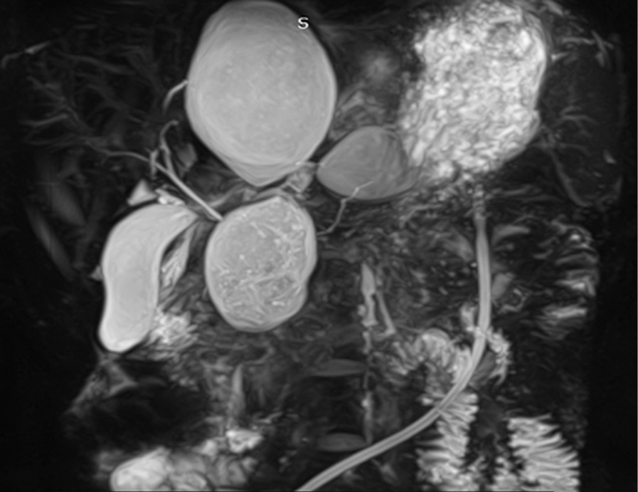
Для уточнения взаимосвязи кист с главным панкреатическим протоком (ГПП) наиболее информативными являлись МРХПГ (Se 100 %, Sp 60 %, Ac 82 %) и эндоскопическая ультрасонография (Se 100 %, Sp 75 %, Ac 89 %) (рис. 1, 2).
Рис. 1. Магнитно-резонансная холангиопанкреатография: множественные посттравматические псевдокисты
Fig. 1. Magnetic resonance cholangiopancreatography: multiple posttraumatic pseudocysts
Рис. 2. Эндоскопическая ультрасонография: множественные посттравматические псевдокисты
Fig. 2. Endoscopic ultrasound: multiple posttraumatic pseudocysts
Виды оперативных вмешательств при кистах ПЖ представлены в табл. 7 и 8.
Таблица 7. Оперативные вмешательства и вариант доступа при экстрапаренхиматозных кистах поджелудочной железы
Table 7. Surgical interventions and access option for extraparenchymatous pancreatic cysts
Операция | Абс. | % | Доступ | |
лапароскопия | лапаротомия | |||
Наружное дренирование | ||||
Наружное дренирование кисты | 14 | 42,4 | 12 | 2 |
Внутреннее дренирование | ||||
Цистоеюноанастомоз | 6 | 18,3 | 4 | 2 |
Трансгастральное дренирование | 7 | 21,2 | 2 | – |
Панкреатоеюноанастомоз | 4 | 12,1 | 4 | – |
Резекционные операции | ||||
Корпокаудальная резекция | 1 | 3 | – | 1 |
Цистэктомия | 1 | 3 | 1 | – |
Всего | 33 | 100 | 21 | 5 |
Таблица 8. Оперативные вмешательства и вариант доступа при интрапаренхиматозных кистах поджелудочной железы
Table 8. Surgical interventions and access option for intraparenchymatous pancreatic cysts
Операция | Количество | Доступ | ||
лапароскопия | лапаротомия | конверсия | ||
Энуклеация / иссечение объемного образования | 8 (33,3 %) | 7 (100 %) | – | 1 (12,5 %) |
Дистальная резекция | 7 (29,2 %) | 5 (71,4 %) | – | 2 (28,6 %) |
Центральная резекция с дистальным панкреатоеюноанастомозом | 6 (25 %) | 4 (66,7 %) | 2 (33,3 %) | – |
Пилоросохраняющая панкреатодуоденальная резекция | 3 (12,5 %) | 1 (33,3 %) | 2 (66,7 %) | – |
Всего | 24 | 17 (70,8 %) | 4 (16,7 %) | 3 (12,5 %) |
Трансгастральное дренирование экстрапаренхиматозных кист ПЖ (рис. 3) обладало преимуществом перед лапароскопическими операциями наружного и внутреннего дренирования кист, что подтверждено сокращением длительности оперативного вмешательства (p < 0,001), уменьшением сроков пребывания в отделении реанимации и интенсивной терапии (ОРИТ) в послеоперационном периоде (p < 0,001), снижением длительности парентерального кормления (p < 0,001), а также сокращением длительности пребывания пациента в стационаре (p < 0,001).
Рис. 3. Эндоскопическое трансгастральное дренирование
Fig. 3. Endoscopic transgastric drainage of pseudocysts
Исследование показало, что использование лапароскопического доступа при резекционных оперативных вмешательствах у детей с интрапаренхиматозными кистозными образованиями ПЖ ведет к уменьшению длительности пребывания пациента в ОРИТ в послеоперационном периоде (p = 0,01), а также сокращению сроков парентерального кормления (p = 0,003).
Интраоперационные осложнения (II степень Satava) в ходе резекционных оперативных вмешательств возникли у 3 (11,5 %) детей, из них кровотечение отмечено у 2 пациентов, повреждение стенки двенадцатиперстной кишки — в 1 наблюдении.
Осложнения I–II степени (по Clavin – Dindo) после резекционных операций на ПЖ, не потребовавшие повторных оперативных вмешательств, отмечены у 3 (11,5 %) детей. Осложнения IIIB степени после дренирующих кисту оперативных вмешательств зафиксированы у 3 (9,7 %) детей, после резецирующих ПЖ операций — у 3 (11,5 %) пациентов (табл. 9).
Таблица 9. Послеоперационные осложнения
Table 9. Postoperative complications
Вид операции | Послеоперационные | Clavien – Dindo | |||
консервативное лечение | кол-во | оперативное лечение | кол-во | ||
Дренирующие | – | Перипанкреатическое жидкостное скопление | 1 | IIIb | |
Ранняя спаечная кишечная непроходимость | 1 | IIIb | |||
Рецидив псевдокисты | 1 | IIIb | |||
Резекционные | Наружный панкреатический свищ | 1 | – | – | II |
Перипанкреатическое жидкостное скопление | 1 | – | – | II | |
Псевдокиста поджелудочной железы | 1 | – | – | I | |
– | – | Перипанкреатическое жидкостное скопление | 1 | IIIb | |
– | – | Псевдокиста поджелудочной железы | 1 | IIIb | |
– | – | Несостоятельность гепатоеюноанастомоза | 1 | IIIb | |
Анализ результатов лечения показал, что шансы развития осложнений в группе пациентов, перенесших резекционные оперативные вмешательства на ПЖ, были выше по сравнению с группой детей, перенесших дренирующие кисты операции (отношение шансов 4,94; 95 % ДИ 1,17–20,83; р = 0,027).
С целью определения предикторов развития осложнений нами применен метод линейной регрессии, анализ ROC-кривых (табл. 10)
Таблица 10. Предикторы развития осложнений
Table 10. Predictors of complications
Фактор | Дренирующие | Резекционные | ||
95 % ДИ | p | 95 % ДИ | p | |
Пол | – | 0,081 | 0,212–6,801 | 1,000 |
Возраст | 0,407–0,974 | 0,295 | 0,545–0,965 | 0,035* |
Длительность заболевания | 0,338–1,000 | 0,343 | – | – |
Первичная операция | 0,062–9,579 | 1,000 | 0,038–4,310 | 0,628 |
Длительность операции | 0,261–0,977 | 0,362 | 0,397–0,865 | 0,280 |
Панкреатодегистивный анастомоз | 0,084–13,226 | 1,000 | 0,082–3,364 | 0,667 |
Размер кисты | 0,345–1,000 | 0,377 | 0,485–0,942 | 0,094 |
Амилаза | 0,623–1,000 | 0,032* | – | – |
Лейкоциты | 0,198–1,000 | 0,385 | 0,326–0,851 | 0,511 |
С-реактивный белок | 0,082–1,000 | 0,519 | 0,374–0,876 | 0,136 |
Было установлено, что предиктором развития осложнений в группе дренирующих оперативных вмешательств является уровень амилазы выше 943 Ед/л (ROC 0,881 ± 0,132; 95% ДИ 0,623–1,000; COV 943), а в группе резекционных оперативных вмешательств — возраст пациента старше 14 лет (ROC 0,755 ± 0,107; 95 % ДИ 0,545–0,965; COV 168,0) (рис. 4, 5).
Рис. 4. ROC-кривая, характеризующая зависимость вероятности осложнения от уровня амилазы
Fig. 4. ROC analysis of the dependence of the probability of complications on the level of amylase
Рис. 5. ROC-кривая, характеризующая зависимость вероятности осложнения от возраста пациента
Fig. 5. ROC analysis of the dependence of the probability of complications on the patient’s age
На основании полученных результатов мы разработали алгоритм диагностических и лечебных мероприятий для выбора оптимальной хирургической тактики у детей с кистозными образованиями ПЖ (рис. 6).
Рис. 6. Алгоритм диагностической и лечебной тактики у детей с кистозными образованиями поджелудочной железы (ПЖ). ГПП — главный панкреатический протокол, МРХПГ — магнитно-резонансная холангиопанкреатография, ЭУС — эндоскопическая ультрасонография, ПЕА — панкреатоеюноанастомоз
Fig. 6. Algorithm of diagnostic and surgical tactics in children with pancreatic cysts: ГПП — main pancreatic protocol, МРХПГ — magnetic resonance cholangiopancreatography, ЭУС — endoscopic ultrasonography, ПЕА — pancreatojejunoanastomosis
ОБСУЖДЕНИЕ
Хирургическое лечение кистозных образований ПЖ — один из наиболее сложных разделов хирургии детского возраста [6]. Клинические проявления кистозных образований ПЖ не специфичны, может отмечаться как бессимптомное течение, так и развитие жизнеугрожающих состояний. Нам не удалось установить специфичные клинические проявления кистозных образований ПЖ. Однако в группе пациентов с экстрапаренхиматозными кистами чаще определяется болевой синдром, диспептические проявления, симптомы интоксикации, в то время как интрапаренхиматозные кистозные образования ПЖ чаще протекают бессимптомно.
В диагностическом плане у детей с кистозными образованиями ПЖ проблематичными остаются вопросы дифференциальной диагностики, определение связи полости кисты с ГПП. По данным литературы в 35 % случаев не представляется возможным установить точный диагноз на предоперационном этапе [7, 8].
В последнее время появляются публикации о применении в педиатрической практике ЭУС, которая позволяет с высокой точностью визуализировать паренхиму и протоковую систему ПЖ. Y.C. Kim и соавт. [7] показали, что для индентификации связи кисты с протоковой системой ПЖ, расширения ГПП Эндо-УЗИ обладает высокой чувствительностью [9]. Наше исследование также демонстрирует высокую информативность ЭУС у детей, сопоставимую с данными МРТ и МСКТ.
При выборе лечебной тактики у детей с экстрапаренхиматозными кистами ПЖ учитывалась клиническая картина, длительность заболевания, размер кистозного образования и сформированность его стенок, а также взаимоотношения кисты с ГПП.
При экстрапаренхиматозных кистах размерами до 6 см с тонкой стенкой в раннем сроке заболевания возможно применение консервативных методов лечения, эффективность которых, по нашим данным, составляет 64,3 %. Цель консервативного лечения — купирование болевого синдрома, с помощью спазмолитических, анальгетических препаратов, а также подавление секреции и активности ферментов ПЖ средствами энтеральной паузы, ингибиторов протеолиза, блокаторов H2-рецепторов гистамина, ингибиторов протонной помпы. С целью предотвращения гнойно-септических осложнений показано проведение антибактериальной терапии. При длительном (более 2 мес.) существовании панкреатических псевдокист возможно выполнение как наружного, так и внутреннего дренирования кист.
В последние годы появились сообщения об эффективности внутрипросветного трансгастрального дренирования панкреатических псевдокист у взрослых и детей [10–12]. Следует отметить, что применение трансгастрального дренирования у детей в настоящий момент ограничено в связи с анатомическими особенностями и следующими за ними техническими трудностями [13, 14]. Данные манипуляции могут повлечь за собой разного рода осложнения, такие как перфорация стенки желудка и двенадцатиперстной кишки, рецидив, связанный с блокированием или миграцией стента [15–17].
Наше исследование показало преимущества эндоскопического трансгастрального дренирования перед стандартными лапароскопическими дренирующими вмешательствами, что подтверждает сокращение длительности оперативного вмешательства, уменьшение сроков пребывания в ОРИТ в послеоперационном периоде, снижение общей продолжительности лечения.
Полученный в исследовании факт, что предиктором развития осложнений в группе пациентов, перенесших дренирующие экстрапаренхиматозные кисты оперативные вмешательства, является исходно высокий уровень амилазы крови, может свидетельствовать о том, что у детей с выраженной клиникой острого панкреатита и гиперферментемией следует ожидать большое число развития осложнений раннего послеоперационного периода.
При интрапаренхиматозных кистозных образованиях ПЖ объем оперативного вмешательства определяется исходя из этиологии, локализации и степени вовлечения в процесс паренхимы ПЖ. Лимфангиомы, кистозные удвоения желудка с локализацией в ПЖ, паразитарные кисты в большинстве случаев могут требовать лишь иссечения кистозного образования.
Кистозные неоплазии, в зависимости от локализации, требуют различных по объему типов резекционных вмешательств: дистальная резекция ПЖ при расположении опухоли в хвосте ПЖ; центральная резекция ПЖ с формированием дистального панкреатоеюноанастомоза при расположении образования в теле ПЖ; панкреатодуоденальная резекция при расположении опухоли в головке ПЖ [18]. Немаловажных факт, что при оперативном вмешательстве необходимо обеспечивать полное удаление опухоли [19].
Нами продемонстрировано, что большинство (70,8 %) резекционных оперативных вмешательств на ПЖ могут быть выполнены из лапароскопического доступа, что в свою очередь помогает добиться сокращения сроков парентерального питания, длительности пребывания в ОРИТ в послеоперационном периоде.
Предиктором развития осложнений в группе пациентов, перенесших резекционные оперативные вмешательства, являлся возраст пациента старше 14 лет. Данный факт, на наш взгляд, можно объяснить тем, что в старшей возрастной группе были оперированы дети с большими по размерам кистозными опухолями ПЖ со сложной анатомической локализацией.
ВЫВОДЫ
- Кистозные образования ПЖ у детей по топографо-анатомическому варианту могут быть разделены на две большие группы: экстрапаренхиматозные и интрапаренхиматозные панкреатические кисты.
- Для дифференциальной диагностики кистозных образований ПЖ наибольшей информативностью обладают МСКТ и МРТ; для уточнения взаимосвязи кист с ГПП наиболее информативным методом исследования является МРХПГ и ЭУС.
- Выбор объема оперативного вмешательства у детей с кистами ПЖ определяется этиологией, размерами кисты, локализацией, связью с ГПП, степенью вовлечения паренхимы ПЖ в опухолевый процесс.
- В настоящее время большинство оперативных вмешательств на ПЖ могут быть выполнены миниинвазивными методами.
ДОПОЛНИТЕЛЬНАЯ ИНФОРМАЦИЯ
Вклад авторов. Все авторы внесли существенный вклад в разработку концепции, проведение исследования и подготовку статьи, прочли и одобрили финальную версию перед публикацией. Вклад каждого автора: Ю.Ю. Соколов — хирургическое лечение пациентов, обзор литературы, сбор и анализ литературных источников, написание текста и редактирование статьи; А.М. Ефременков, Д.В. Донской — сбор и анализ литературных источников, редактирование статьи; Р.А. Ахматов — курация пациентов, проведение катамнестического обследования, обзор литературы, сбор и анализ литературных источников, написание текста и редактирование статьи; А.П. Зыкин — курация пациентов, обзор литературы, сбор и анализ литературных источников; М.Х. Кауфов — курация пациентов, обзор литературы; А.Н. Шапкина, К.А. Барская — обзор литературы.
Источник финансирования. Авторы заявляют об отсутствии внешнего финансирования при проведении исследования и подготовке публикации.
Конфликт интересов. Авторы декларируют отсутствие явных и потенциальных конфликтов интересов, связанных с проведенным исследованием и публикацией настоящей статьи.
ADDITIONAL INFORMATION
Authors’ contribution. Thereby, all authors made a substantial contribution to the conception of the study, acquisition, analysis, interpretation of data for the work, drafting and revising the article, final approval of the version to be published and agree to be accountable for all aspects of the study. Contribution of each author: Yu.Yu. Sokolov — surgical management, literature review, collection and analysis of literature, writing the article and article editing; A.M. Efremenkov, D.V. Donskoy — literature review, collection and analysis of literature, article editing; R.A. Akhmatov — patient supervision, fillow-up survey, literature review, collection and analysis of literature, writing the article and article editing; A.P. Zykin — patient supervision, literature review, collection and analysis of literature; M.Kh. Kaufov — patient supervision, literature review; A.N. Shapkina, K.A. Barskaya — literature review.
Funding source. This study was not supported by any external sources of funding.
Conflict of interest. The authors declare the absence of obvious and potential conflicts of interest related to the publication of this article
Об авторах
Юрий Юрьевич Соколов
Российская медицинская академия непрерывного профессионального образования
Email: sokolov-surg@yandex.ru
ORCID iD: 0000-0003-3831-768X
SPIN-код: 9674-1049
д-р мед. наук, профессор, заведующий кафедрой детской хирургии им. акад. С.Я. Долецкого
Россия, МоскваАртем Михайлович Ефременков
Российская медицинская академия непрерывного профессионального образования; Центральная клиническая больница с поликлиникой Управления делами Президента Российской Федерации
Email: efremart@yandex.ru
ORCID iD: 0000-0002-5394-0165
SPIN-код: 6873-6732
канд. мед. наук, доцент кафедры детской хирургии им. акад. С.Я. Долецкого; заведующий детский хирургическим отделением
Россия, Москва; МоскваДмитрий Владимирович Донской
Российская медицинская академия непрерывного профессионального образования; Детская городская клиническая больница святого Владимира
Email: dvdonskoy@gmail.com
ORCID iD: 0000-0001-5076-2378
SPIN-код: 8584-8933
канд. мед. наук, доцент кафедры детской хирургии им. акад. С.Я. Долецкого; детский хирург
Россия, Москва; МоскваРоман Анатольевич Ахматов
Российская медицинская академия непрерывного профессионального образования; Детская городская клиническая больница святого Владимира
Email: romaahmatov@yandex.ru
ORCID iD: 0000-0002-5415-0499
SPIN-код: 9024-8324
ассистент кафедры детской хирургии им. акад. С.Я. Долецкого; детский хирург
Россия, Москва; МоскваАлександр Павлович Зыкин
Российская медицинская академия непрерывного профессионального образования; Центральная клиническая больница с поликлиникой Управления делами Президента Российской Федерации
Email: Alr-z@yandex.ru
ORCID iD: 0000-0003-3551-1970
SPIN-код: 4048-7765
ассистент кафедры детской хирургии им. акад. С.Я. Долецкого; детский хирург
Россия, Москва; МоскваМухаммед Хасанович Кауфов
Российская медицинская академия непрерывного профессионального образования
Email: doctorkaufov@gmail.com
ORCID iD: 0000-0001-5025-3012
SPIN-код: 5770-0227
аспирант кафедры детской хирургии им. акад. С.Я. Долецкого
Россия, МоскваАнна Николаевна Шапкина
Дальневосточный федеральный университет
Email: pedsurg2005@mail.ru
ORCID iD: 0000-0002-0809-8941
SPIN-код: 4483-0450
канд. мед. наук, доцент школы медицины
Россия, ВладивостокКамила Александровна Барская
Российская медицинская академия непрерывного профессионального образования
Автор, ответственный за переписку.
Email: kamila.barskaya@mail.ru
ORCID iD: 0009-0005-4041-0105
SPIN-код: 6754-5870
ординатор кафедры детской хирургии им. акад. С.Я. Долецкого
Россия, МоскваСписок литературы
- Лубянский В.Г., Насонов В.В. Эндоскопическое чрезжелудочное дренирование жидкостных скоплений и постнекротических кист при остром панкреатите // Анналы хирургической гепатологии. 2015. Т. 20, № 4. С. 40–44. doi: 10.16931/1995-5464.2015440-44
- Del Chiaro M., Verbeke C., Salvia R., et al. European experts consensus statement on cystic tumours of the pancreas // Dig Liver Dis. 2013. Vol. 45, No. 9. P. 703–711. doi: 10.1016/j.dld.2013.01.010
- Kimura W., Nagai H., Kuroda A., et al. Analysis of small cystic lesions of the pancreas // Int J Pancreatol. 1995. Vol. 18, No. 3. P. 197–206. doi: 10.1007/BF02784942
- Lee L.S. Incidental cystic lesions in the pancreas: resect? EUS? Follow? // Curr Treat Options Gastroenterol. 2014. Vol. 12, No. 3. P. 333–349. doi: 10.1007/s11938-014-0019-6
- Yoder S.M., Rothenberg S., Tsao K., et al. Laparoscopic treatment of pancreatic pseudocysts in children // J Laparoendosc Adv Surg Tech A. 2009. Vol. 19, No. S1. P. S37–40. doi: 10.1089/lap.2008.0124.supp
- Кулевич Б.О., Разумовский А.Ю., Холостова В.В., и др. Опыт хирургического лечения заболеваний поджелудочной железы у детей // Экспериментальная и клиническая гастроэнтерология. 2021. № 1. С. 142–149. doi: 10.31146/1682-8658-ecg-185-1-142-149
- Kim Y.C., Choi J.-Y., Chung Y.E., et al. Comparison of MRI and endoscopic ultrasound in the characterization of pancreatic cystic lesions // AJR Am J Roentgenol. 2010. Vol. 195, No. 4. P. 947–952. doi: 10.2214/AJR.09.3985
- Krishna S.G., Brugge W.R., Dewitt J.M., et al. Needle-based confocal laser endomicroscopy for the diagnosis of pancreatic cystic lesions: an international external interobserver and intraobserver study (with videos) // Gastrointest Endosc. 2017. Vol. 86, No. 4. P. 644–654.e2. doi: 10.1016/j.gie.2017.03.002
- Солодинина Е.Н., Старков Ю.Г., Замолодчиков Р.Д., Солодинин П.А. Эндосонография в дифференциальной диагностике псевдокист и кистозных опухолей поджелудочной железы // Тихоокеанский медицинский журнал. 2016. № 1. С. 71–75. doi: 10.17238/PmJ1609-1175.2016.1.71-76
- Черданцев Д.В., Первова О.В., Носков И.Г., и др. Возможности лучевых методов исследования в диагностике псевдокист поджелудочной железы // Российский электронный журнал лучевой диагностики. 2018. Т. 8, № 4. С. 111–117. doi: 10.21569/2222-7415-2018-8-4-111-117
- Ge N., Hu J., Sun S., et al. Endoscopic Ultrasound-guided pancreatic pseudocyst drainage with lumen-apposing metal stents or plastic double-pigtail stents: A multifactorial analysis // J Transl Int Med. 2017. Vol. 5, No. 4. P. 213–219. doi: 10.1515/jtim-2017-0036
- Zhu H., Jiang F., Zhu J., et al. Assessment of morbidity and mortality associated with endoscopic ultrasound-guided fine-needle aspiration for pancreatic cystic lesions: A systematic review and meta-analysis // Dig Endosc. 2017. Vol. 29, No. 6. P. 667–675. doi: 10.1111/den.12851
- Yang D., Amin S., Gonzalez S., et al. Transpapillary drainage has no added benefit on treatment outcomes in patients undergoing EUS-guided transmural drainage of pancreatic pseudocysts: a large multicenter study // Gastrointest Endosc. 2016. Vol. 83, No. 4. P. 720–729. doi: 10.1016/j.gie.2015.10.040
- Yoon S.B., Lee I.S., Choi M.-G. Metal versus plastic stents for drainage of pancreatic fluid collection: A meta-analysis // United European Gastroenterol J. 2018. Vol. 6, No. 5. P. 729–738. doi: 10.1177/2050640618761702
- Ramos-Gonzalez G.J., Medford S.D., Kim H.B. Transduodenal cystoduodenostomy for pancreatic pseudocyst in two young children // J Pediatr Surg Case Rep. 2018. Vol. 34. P. 20–22. doi: 10.1016/j.epsc.2018.04.017
- Al-Shanafey S., Shun A., Williams S. Endoscopic drainage of pancreatic pseudocysts in children // J Pediatr Surg. 2004. Vol. 39, No. 7. P. 1062–1065. doi: 10.1016/j.jpedsurg.2004.03.071
- Sharma S.S., Maharshi S. Endoscopic management of pancreatic pseudocyst in children-a long-term follow-up // J Pediatr Surg. 2008. Vol. 43, No. 9. P. 1636–1639. doi: 10.1016/j.jpedsurg.2008.01.026
- Tyberg A., Karia K., Gabr M., et al. Management of pancreatic fluid collections: A comprehensive review of the literature // World J Gastroenterol. 2016. Vol. 22, No. 7. P. 2256–2270. doi: 10.3748/wjg.v22.i7.2256
- Campanile M., Nicolas A., LeBel S., et al. Frantz’s tumor: is mutilating surgery always justified in young patients? // Surg Oncol. 2011. Vol. 20, No. 2. P. 121–125. doi: 10.1016/j.suronc.2009.12.003
Дополнительные файлы











