Endoscopic ultrasound-guided cystogastrostomy in the treatment of the complicated form of acute pancreatitis in children
- Authors: Pavlushin P.M.1,2, Gramzin A.V.1,2, Drobyazgin E.A.1,2, Dobrov S.D.2, Okhotina A.A.2, Nikulina A.B.1,2, Arkhipov D.A.2, Krivosheenko N.V.2, Koynov Y.Y.2, Tsyganok V.N.2, Chikinev Y.V.1,2
-
Affiliations:
- Novosibirsk State Medical University
- Novosibirsk District Clinical Hospital
- Issue: Vol 13, No 1 (2023)
- Pages: 83-93
- Section: Case reports
- Submitted: 27.12.2022
- Accepted: 15.02.2023
- Published: 10.05.2023
- URL: https://rps-journal.ru/jour/article/view/1486
- DOI: https://doi.org/10.17816/psaic1486
- ID: 1486
Cite item
Full Text
Abstract
Acute pancreatitis is relatively rare in children, with approximately 3–13 cases per 100,000 populations annually, and complicated forms are three times less common than those in adults. However, recently, the number of acute pancreatitis cases in children has increased, which entails a relatively higher incidence of complicated acute pancreatitis, including parapancreatic acute fluid accumulation, and determines the relevance of this problem for pediatric surgeons.
In this study, using two sample observations, parapancreatic pseudocyst puncture under ultrasound and X-ray control was presented, a conductor string was introduced into the cavity of the pseudocyst, and further stenting of this anastomosis was performed with two plastic double-pigtail stents. In the first case, a 12-year-old boy underwent surgery for idiopathic pancreatitis and acute parapancreatic fluid accumulation in the pancreatic tail. In the second case, a 10-year-old girl presented with a parapancreatic pseudocyst, which was caused by drug-induced pancreatitis (a complication of the long-term use of valproic acid, an antiepileptic drug). Both children underwent surgery using this technique. Antisecretory therapy was performed postoperatively. In the catamnesis after 1 year and 6 months, the children had no complaints, and ultrasound and X-ray studies did not reveal any pathology. Endoscopic cystogastrostomy under ultrasound guidance is widely performed in complicated pancreatitis in adults. These observations show its effectiveness in pediatric practice. However, the relatively short observation period of treatment results requires additional research on a much larger number of cases and outcomes of these surgical interventions in children.
Full Text
ВВЕДЕНИЕ
Острое воспаление поджелудочной железы в педиатрической популяции встречается относительно редко, порядка 3–13 случаев на 100 000 населения ежегодно, а осложненное течение острого панкреатита в три раза реже, чем во взрослой когорте пациентов. В этиологии панкреатита у детей превалируют посттравматические, лекарственно-индуцированные факторы и панкреатиты на фоне врожденных пороков развития гепатопанкреатобилиарной зоны, однако значительную долю сохраняют идиопатические панкреатиты [1–3]. В последнее время отмечается увеличение числа острых панкреатитов у детей, что влечет за собой относительно большую встречаемость осложненных форм острого панкреатита, в том числе с формированием парапанкреатических острых жидкостных скоплений [4, 5]. Данный факт заставляет детского хирурга все чаще встречаться со столь сложной, не всегда однозначной в плане хирургической тактики и вариабельной патологией поджелудочной железы.
Многие методы дренирования данных псевдокист подвергают ребенка относительно большой операционной травме, а в случае перкутанного дренирования могут сформировать наружный панкреатический свищ. Однако существует современный малоинвазивный метод дренирования острого парапанкреатического жидкостного скопления — эндоскопическое наложение кистозно-желудочного соустья.
В целях улучшения качества лечения детей с локальными осложнениями острого панкреатита в данной статье представлен опыт применения методики малоинвазивного эндоскопического дренирования парапанкреатических псевдокист под ультразвуковым (УЗ) наведением.
ОПИСАНИЕ КЛИНИЧЕСКИХ СЛУЧАЕВ
Случай 1
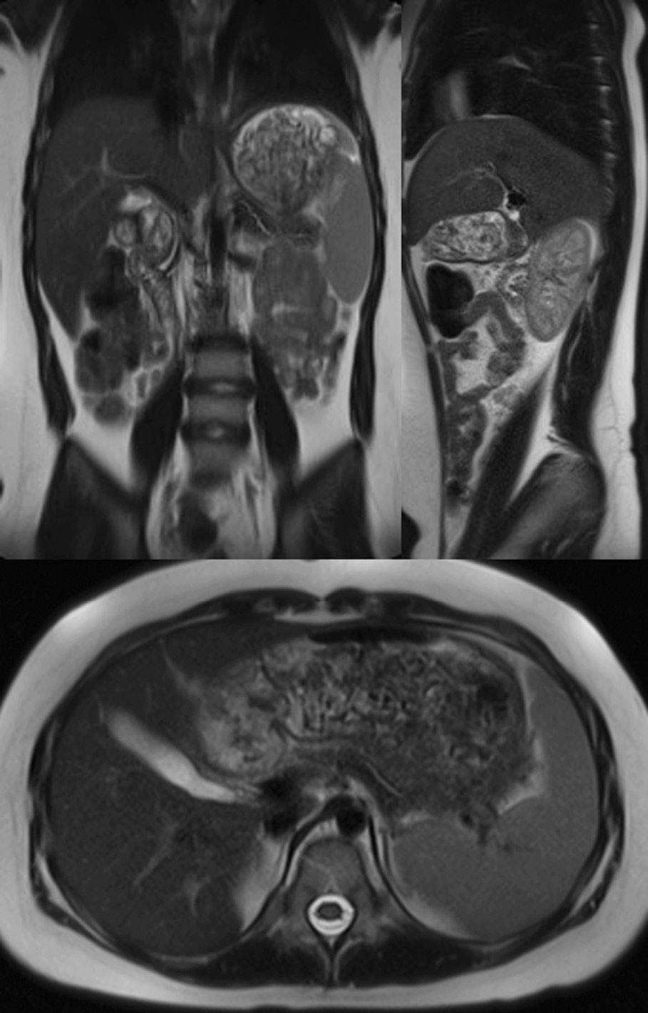
Мальчик, 12 лет, обратился в центральную районную больницу (ЦРБ) по месту жительства в связи с болями в животе, которые связывал с погрешностями в диете, где при дообследовании заподозрен острый панкреатит, в связи с чем на ранних этапах начаты инфузионная, антисекреторная, спазмолитическая и антибактериальная терапия, энтеральная нагрузка ограничена. При стабильном состоянии ребенок консультирован по линии санитарной авиации — рекомендован перевод в детское хирургическое отделение Государственной Новосибирской областной клинической больницы (ГНОКБ). При поступлении состояние пациента определено как среднетяжелое, без болевого абдоминального синдрома, эвакуаторные расстройства отсутствовали, уровень амилазы крови 198 Ед/л, С-реактивный белок (СРБ) 165 мг/л, иной гуморальной активности не отмечено. Продолжена ранее обозначенная терапия. На 2-е сутки после перевода — отрицательная динамика в виде появления умеренного болевого абдоминального синдрома, элевации уровня амилазы крови, дисэлектролитемии, в связи с чем ребенок переведен в отделение реанимации. На 4-е сутки выполнен УЗ-контроль, по результатам которого наряду с сохраняющимся отеком паренхимы железы в проекции хвоста и тела железы визуализировано парапанкреатическое анэхогенное жидкостное образование 7,7 × 5,5 см. По результатам магнитно-резонансной томографии органов брюшной полости и забрюшинного пространства (МРТ ОБП) с программой MRCP выявлено оттесняющее стенку желудка кпереди отграниченное жидкостное скопление округлой формы с четкими и ровными контурами с гомогенным МР-сигналом от содержимого размерами до 65 × 47 × 52 мм (рис. 1).
Рис. 1. Магнитно-резонансная томография органов брюшной полости. Стрелка указывает на жидкостное перипанкреатическое образование
Учитывая интимную связь парапанкреатической псевдокисты с желудком, ребенку предпочтительно проведение эндоскопической цистогастростомии под УЗ-контролем.
Ход операции. При инсуффляции СО2 конвексный эхоэндоскоп OlympusTM UTC140 (Япония) с внешним диаметром дистального конца 14,6 мм проведен в пищевод, желудок, двенадцатиперстную кишку. Все 5 эхоскопических слоев пищевода, желудка, двенадцатиперстной кишки четко визуализированы. Аорта прослежена до отхождения чревного ствола. Визуализированы чревный ствол, селезеночная и печеночная артерии. Поджелудочная железа в области головки и тела незначительно увеличена в размерах, контуры ее четкие, ровные, паренхима неоднородная, без очаговых поражений. Вирсунгов проток шириной до 1 мм, прослеживается на всем протяжении, ход его прямой, просвет гомогенный, боковые бранши не определяются, внутрипротоковых включений нет. Лимфатические узлы в панкреатобилиарной зоне, по ходу селезеночных сосудов не определяются. При УЗ-сканировании из желудка в области хвоста поджелудочной железы определяется кистозное образование округлой формы с четкими, ровными стенками, размерами до 6 × 5 см с гомогенным содержимым, на небольшом участке прилежащее к стенке желудка. Выполнена пункция иглой Endoflex 19G под УЗ-контролем в точке наиболее плотного контакта со стенкой желудка, получено прозрачное содержимое (забрано на цитологию, бактериальный посев, биохимическое исследование). Далее по игле под УЗ- и рентгенологическим контролем установлена мягкая струна-проводник 0,035” с гидрофильным кончиком, по которой выполнена электрохирургическая цистогастростомия цистотомом 8,5 Fr, канал расширен трехэтапным дилатационным баллоном EndostarsTM до 8 мм, после чего в зону сформированного соустья установлены два мягких пластиковых стента Endo-flexTM типа double pigtail 7 Fr, длиной 8 см (рис. 2).
Рис. 2. Вид двух double-pigtail-стентов, установленных в просвете цистогастроанастомоза
Рентген-контроль положения стентов. В желудок оттекает содержимое дренируемого жидкостного скопления.
После операции ребенок переведен в отделение реанимации и интенсивной терапии с целью мониторинга витальных функций, проведения парентерального кормления, антисекреторной терапии препаратом октреотида. По результатам биохимического исследования содержимого кисты уровень амилазы составил 222 070 Ед/л, при бактериологическом исследовании роста патогенной флоры не получено. На 2-е послеоперационные сутки начато энтеральное кормление специально подготовленной смесью. На 4-е сутки отменена антисекреторная терапия (октреотид). На 5-е послеоперационные сутки ребенок переведен в профильное отделение. Выписан на амбулаторный этап только на 17-е сутки после операции, ввиду длительной гуморальной активности, купированной антибактериальной терапией карбапенемами.
При диспансерном наблюдении ребенка в течение полугода данных о рецидиве и осложнении не выявлено. Через 6 мес. после оперативного лечения ребенок планово госпитализирован в отделение детской хирургии ГНОКБ. Проведена МРТ ОБП: поджелудочная железа нормальных формы и размеров, патологических образований не выявлено, парапанкреатическая клетчатка не изменена (рис. 3).
Рис. 3. Магнитно-резонансная томография. Контроль органов брюшной полости через 6 мес. после лечения
При эзофагогастродуоденоскопии: стентов не обнаружено, наиболее вероятно стенты самопроизвольно мигрировали по кишечнику и вышли естественным путем. На данный момент катамнез данного пациента составляет порядка 1 года, рецидива острого панкреатита у ребенка не зафиксировано.
Случай 2
Девочка, 10 лет, поступила в ЦРБ по месту жительства с жалобами на постоянные тянущие боли в эпигастрии давностью трое суток, тошноту, рвоту съеденной пищей, фебрильную лихорадку. При УЗИ органов брюшной полости, выполненном в приемном отделении, — признаки отека паренхимы поджелудочной железы, на уровне хвоста жидкостное однородное скопление неправильной формы размерами 82 × 46 × 30 мм. Течение острого панкреатита также подтверждено параклинически. Из анамнеза ребенка известено о приеме препаратов вальпроевой кислоты с возраста 11 мес. в связи с имеющейся эпилепсией. Назначена инфузионная терапия, спазмолитики, антибактериальная терапия. На следующие сутки ребенок переведен в детское хирургического отделение ГНОКБ. При поступлении выполнена МСКТ органов брюшной полости с внутривенным болюсным контрастированием, выявлены признаки панкреонекроза с прорывом главного панкреатического протока и образованием острого жидкостного скопления по передней поверхности хвоста и тела поджелудочной железы до 7 см в диаметре, оттесняющего желудок кпереди, выраженный отек всех отделов поджелудочной железы, контрастирование паренхимы неоднородное. Отек парапанкреатической клетчатки с распространением в ворота селезенки, вдоль переднего листка фасции Герота слева и левого бокового канала (рис. 4).
Рис. 4. Мультиспиральная компьютерная томография. Венозная фаза органов брюшной полости. Стрелки указывают на жидкостное перипанкреатическое образование
Параклинически: гуморальная активность — лейкоцитоз 16 · 109/л с нейтрофильным сдвигом, СРБ 113 мг/л, уровень амилазы крови и мочи в норме. С учетом имеющихся инструментальных признаков панкреонекроза исследован уровень панкреатической липазы — повышен до 261 Ед/л. Назначены антисекреторная (октреотид), гастропротекторная (эзомепразол), спазмолитическая (дротаверин), инфузионная, антибактериальная (цефоперазон + сульбактам) терапия. Учитывая интимную связь парапанкреатической псевдокисты с желудком, ребенку предпочтительно проведение эндоскопической цистогастростомии под УЗ-контролем. С учетом противоэпилептической терапии также не исключен лекарственный генез заболевания на фоне приема вальпроевой кислоты — смена препарата на топирамат. Оперативное лечение по ранее описанной методике выполнено на 5-е сутки пребывания в стационаре.
По результатам исследования: в биохимическом анализе пунктата кисты — амилаза 431 Ед/мл, по данным посева получена Candida albicans. В динамике на фоне проводимого лечения отмечается снижение показателей гуморальной активности и секреторной активности поджелудочной железы. На 8-е послеоперационные сутки выполнена МРТ ОБП — размеры кисты поджелудочной железы уменьшились до 30 × 35 мм, сохраняется отек и инфильтрация парапанкреатической клетчатки. На 9-е сутки отменена антисекреторная терапия. На 15-е сутки ребенок выписан на амбулаторный этап лечения.
Через 3 мес. пациентка в плановом порядке госпитализирована в отделение детской хирургии ГНОКБ. По данным МРТ ОБП: поджелудочная железа не увеличена (ширина железы в области головки 17 мм, в области тела 13 мм, в области хвоста 9 мм), паренхима железы гомогенная, дольчатость структуры отчетливо не определяется, панкреатический проток не расширен. Киста «спавшаяся».
Через 6 мес. — повторная госпитализация в отделение детской хирургии. По данным МРТ ОБП: поджелудочная железа не увеличена, паренхима железы гомогенная, дольчатость структуры сохранена, панкреатический проток не расширен, ранее визуализируемая киста размерами до 1 см с жидкостным содержимым. За прошедшие 6 мес. также: отсутствие абдоминального болевого синдрома и параклинических изменений. С учетом положительной клинической и лабораторной динамики принято решение об удалении стента.
ОБСУЖДЕНИЕ
Острый панкреатит в педиатрической популяции — относительно редкое заболевание, в отличие от взрослой когорты населения. «Взрослыми» хирургами пройден достаточно длительный путь в изучении подходов консервативного и оперативного лечения как собственно панкреатита, так и его осложненных форм. По данным иностранных источников, за последние 10–15 лет заболеваемость панкреатитом среди детей значительно возросла и составляет 3,6–13,3 случая на 100 000 [6–8].
Острый панкреатит у детей имеет свои отличительные черты. Во-первых, в этиологической структуре превалируют посттравматические панкреатиты — до 40 % [1]. По данным H.X. Bai и соавт. [2], наиболее часто выявляются билиогенные панкреатиты, вследствие обструкции терминального отдела холедоха. Данный вид панкреатита чаще диагностируется в старшей возрастной группе. Исходя из нашего опыта, билиогенные панкреатиты встречаются редко. Возможно, это обусловлено ранней диагностикой желчнокаменной болезни у детей и своевременным лечением. Лекарственно-индуцированные панкреатиты встречаются до 25 % случаев, идиопатические панкреатиты — до 34 %, а на панкреатиты, связанные с аномалией развития панкреатобилиарной зоны (pancreas divisum, pancreatobiliary maljunction, кольцевидная поджелудочная железа, киста холедоха), включая генетически-детерминированные воспаления поджелудочной железы, приходится оставшаяся доля [9].
Течение панкреатита у детей по сравнению со взрослыми протекает в более легких формах за счет неизменной паренхимы поджелудочной железы, а осложнения встречаются реже. Поэтому не каждый детский хирург может встретиться в своей практической работе с подобным состоянием у ребенка. Поэтому необходимо концентрировать пациентов с осложненными формами панкреатита в многопрофильных центрах, сочетающих техническую оснащенность с подготовленными специалистами, владеющими современными миниинвазивными методиками [10–12].
Одно из ранних осложнений течения острого панкреатита — образование псевдокист, которые по своей сути являются острыми жидкостными скоплениями сока поджелудочной железы в парапанкреатическом пространстве или в полости малого сальника. Данные образования могут достигать достаточно внушительных размеров. Однако, учитывая редкость патологии в детском возрасте, не до конца определен подход к терапии этих состояний [13, 14]. Существует выжидательный подход и мнение, что большинство псевдокист могут инволюционировать самостоятельно в течение 4–6 нед. А при отсутствии положительной динамики, прибегают к активной хирургической тактике — наложению цистогастроанастомоза («открытой», лапароскопической или эндоскопической методикой) или одного из вариантов перкутанного дренирования. Однако, при наличии отрицательной динамики, явной связи с протоковой системой поджелудочной железы, явлениями панкреонекроза сроки оперативного вмешательства могут быть сокращены. Тем не менее рекомендуется не применять активных действий в первые 2 нед. течения воспалительного процесса в поджелудочной железе. В отдельных случаях можно прибегнуть к наложению цистоеюноанастомоза [15–17].
Согласно коллективному мнению, эндоскопическая цистогастростомия у детей — это безопасный, эффективный, малоинвазивный метод лечения острых жидкостных скоплений в исходе острого панкреатита [18–21]. Его основные бенефиты в сравнении с перкутанным дренированием — это отсутствие наружных медицинских изделий на теле ребенка, что обусловливает хорошую социализацию пациента, и отсутствие рисков самостоятельной экстракции дренажа ребенком. Основной минус перкутанных вмешательств — необходимость быть уверенным в отсутствии разгерметизации главного панкреатического протока, поскольку в ситуации с нарушением целостности вирсунгова протока хирурги имеют риски получить полноценный наружный панкреатический свищ, при котором может требоваться последующее реконструктивное вмешательство, в особенности при наличии синдрома «отключенного» хвоста поджелудочной железы. У внутреннего дренирования подобного риска нет. Современный уровень развития медицинской техники позволяет свободно выполнять подобные вмешательства детям старшей возрастной группы, а также в отдельных случаях и в младшей. Положение эндоскопа в желудке дает необходимую свободу движений для наложения соустья, а современные материалы, из которых изготовлены стенты, не требуют их специальной фиксации и позволяют им длительно и эффективно функционировать. При УЗ-навигации эти операции проводят безопасно для пациента без действий «вслепую». При осложненных псевдокистах поджелудочной железы имеются модификации данной технологии, позволяющие проводить стентирование соустья саморасправляющимися металлическими стентами в случае выраженного панкреонекроза с образованием секвестров. Наличие стентированного соустья также дает возможность проводить лаваж полости псевдокисты, удаление некротических масс [22–30].
Однако количество выполняемых эндоскопических цистогастростомий у детей как в России, так и в мире достаточно лимитировано, ввиду относительно редкой встречаемости данной патологии; зачастую один центр не может накопить необходимый опыт, позволяющий всесторонне оценить эффективность данной методики. Поэтому требуются многоцентровые исследования с целью определения четких показаний к вмешательству, сроков наложения соустья от начала заболевания, продолжительности стояния стентов, возможных осложнений, а также поиск путей их разрешения.
ЗАКЛЮЧЕНИЕ
Эндоскопическая цистогастростомия под ультразвуковым контролем, выполняемая у детей при осложненных формах острого панкреатита, на наш взгляд, — современная, эффективная, малоинвазивная методика, позволяющая добиться удовлетворительного клинического эффекта в течение панкреонекроза с формированием псевдокист. Однако, учитывая относительную редкость подобных осложнений острого панкреатита у детей, требуются дальнейшие многоцентровые исследования, направленные на всестороннее изучение данной методики в детской практике, в том числе и отдаленных на десятилетия эффектов от создания подобного соустья.
ДОПОЛНИТЕЛЬНАЯ ИНФОРМАЦИЯ
Вклад авторов. Все авторы внесли существенный вклад в разработку концепции, проведение исследования и подготовку статьи, прочли и одобрили финальную версию перед публикацией. Вклад авторов распределен следующим образом: П.М. Павлушин — концепция и дизайн исследования, написание текста, 27,5 %; А.В. Грамзин — корректировка текста, 5 %; Е.А. Дробязгин — концепция исследования, обработка материала, 27,5 %; С.Д. Добров — корректировка текста, 5 %; А.А. Охотин, А.Б. Никулина, Д.А. Архипов, Н.В. Кривошеенко, Ю.Ю. Койнов, В.Н. Цыганок — обработка материала, 5 %; Ю.В. Чикинев — корректировка текста, 5 %.
Конфликт интересов. Авторы декларируют отсутствие явных и потенциальных конфликтов интересов, связанных с публикацией настоящей статьи.
Источник финансирования. Авторы заявляют об отсутствии внешнего финансирования при проведении исследования.
Информированное согласие на публикацию. Авторы получили письменное согласие законных представителей пациента на публикацию медицинских данных и фотографий.
ADDITIONAL INFORMATION
Author contribution. Thereby, all authors made a substantial contribution to the conception of the study, acquisition, analysis, interpretation of data for the work, drafting and revising the article, final approval of the version to be published and agree to be accountable for all aspects of the study. The authors’ contributions are distributed as follows: P.M. Pavlushin — study concept and design, writing the text, 27,5%; A.V. Gramzin — text editing, 5%; E.A. Drobyazgin — study design, material processing, 27,5%; S.D. Dobrov — text correction, 5%; A.A. Okhotina, A.B. Nikulina, D.A. Arkhipov, N.V. Krivosheenko, Yu.Yu. Koinov, V.N. Tsyganok — material processing, 5% each; Yu.V. Chikinev — text editing, 5%;
Competing interests. The authors declare that they have no competing interests.
Funding source. This study was not supported by any external sources of funding.
Consent for publication. Written consent was obtained from the patient for publication of relevant medical information and all of accompanying images within the manuscript.
About the authors
Pavel M. Pavlushin
Novosibirsk State Medical University; Novosibirsk District Clinical Hospital
Author for correspondence.
Email: pavlushinpav@mail.ru
ORCID iD: 0000-0002-6684-5423
SPIN-code: 6893-6854
pediatric surgeon; postgraduate student
Россия, Novosibirsk; NovosibirskAlexey V. Gramzin
Novosibirsk State Medical University; Novosibirsk District Clinical Hospital
Email: dxo-26@yandex.ru
ORCID iD: 0000-0001-7338-7275
SPIN-code: 9818-3830
Cand. Sci. (Med.), head of the pediatric surgical Department
Россия, Novosibirsk; NovosibirskEugeniy A. Drobyazgin
Novosibirsk State Medical University; Novosibirsk District Clinical Hospital
Email: evgenyidrob@inbox.ru
ORCID iD: 0000-0002-3690-1316
SPIN-code: 4665-2278
MD, Dr. Sci. (Med.), professor of hospital and pediatric surgery Department
Россия, Novosibirsk; NovosibirskSemyon D. Dobrov
Novosibirsk District Clinical Hospital
Email: dxo-26@yandex.ru
ORCID iD: 0000-0001-9365-4641
MD, Dr. Sci. (Med.), surgeon
Россия, NovosibirskAlexandra A. Okhotina
Novosibirsk District Clinical Hospital
Email: dxo-26@yandex.ru
pediatric surgeon
Россия, NovosibirskAnna B. Nikulina
Novosibirsk State Medical University; Novosibirsk District Clinical Hospital
Email: lyatyaska@mail.ru
ORCID iD: 0000-0002-7199-2161
pediatrician
Россия, Novosibirsk; NovosibirskDmitriy A. Arkhipov
Novosibirsk District Clinical Hospital
Email: dxo-26@yandex.ru
ORCID iD: 0000-0001-5219-2364
endoscopist
Россия, NovosibirskNikolay V. Krivosheenko
Novosibirsk District Clinical Hospital
Email: dxo-26@yandex.ru
ORCID iD: 0000-0001-6210-7493
pediatric surgeon
Россия, NovosibirskYuri Yu. Koynov
Novosibirsk District Clinical Hospital
Email: dxo-26@yandex.ru
ORCID iD: 0000-0002-9528-0601
SPIN-code: 6650-7710
pediatric surgeon
Россия, NovosibirskVladislav N. Tsyganok
Novosibirsk District Clinical Hospital
Email: dxo-26@yandex.ru
ORCID iD: 0000-0003-1176-6741
SPIN-code: 7536-5976
pediatric surgeon
Россия, NovosibirskYuri V. Chikinev
Novosibirsk State Medical University; Novosibirsk District Clinical Hospital
Email: chikinev@inbox.ru
ORCID iD: 0000-0002-6795-6678
SPIN-code: 9782-1047
MD, Dr. Sci. (Med.), professor, head of the hospital and pediatric surgery Department
Россия, Novosibirsk; NovosibirskReferences
- Lautz TB, Chin AC, Radhakrishnan J. Acute pancreatitis in children: spectrum of disease and predictors of severity. J Pediatr Surg. 2011;46(6):1144–1149. doi: 10.1016/j.jpedsurg.2011.03.044
- Bai HX, Lowe ME, Husain SZ. What have we learned about acute pancreatitis in children? J Pediatr Gastroenterol Nutr. 2011;52(3):262–270. doi: 10.1097/MPG.0b013e3182061d75
- Suzuki M, Sai JK, Shimizu T. Acute pancreatitis in children and adolescents. World J Gastrointest Pathophysiol. 2014;5(4):416–426. doi: 10.4291/wjgp.v5.i4.416
- Uc A, Husain SZ. Pancreatitis in children. Gastroenterology. 2019;156(7):1969–1978. doi: 10.1053/j.gastro.2018.12.043
- Hornung L, Szabo FK, Kalkwarf HJ, Abu-El-Haija M. Increased burden of pediatric acute pancreatitis on the health care system. Pancreas. 2017;46(9):1111–1114. doi: 10.1097/MPA.0000000000000918
- Morinville VD, Barmada MM, Lowe ME. Increasing incidence of acute pancreatitis at an American pediatric tertiary care center: is greater awareness among physicians responsible? Pancreas. 2010;39(1):5–8. doi: 10.1097/MPA.0b013e3181baac47
- Majbar AA, Cusick E, Johnson P, et al. Incidence and clinical associations of childhood acute pancreatitis. Pediatrics. 2016;138(3):e20161198. doi: 10.1542/peds.2016-1198
- Pant C, Deshpande A, Sferra TJ, et al. Emergency department visits for acute pancreatitis in children: results from the Nationwide Emergency Department Sample 2006–2011. J Investig Med. 2015;63(4):646–648. doi: 10.1097/JIM.0000000000000154
- Kamalova AA, Urazmanova IM, Khayretdinova RF, Badretdinova AN. Current international guidelines for the diagnosis and treatment of acute pancreatitis in children. Pediatrician (St. Petersburg). 2019;10(4):79–87. (In Russ.) doi: 10.17816/PED10479-87
- Suzuki M, Saito N, Naritaka N, et al. Scoring system for the prediction of severe acute pancreatitis in children. Pediatr Int. 2015;57(1):113–118. doi: 10.1111/ped.12449
- Lal SB, Venkatesh V, Rana SS, et al. Paediatric acute pancreatitis: clinical profile and natural history of collections. Pancreatology. 2020;20(4):659–664. doi: 10.1016/j.pan.2020.03.007
- Raizner A, Phatak UP, Baker K, et al. Acute necrotizing pancreatitis in children. J Pediatr. 2013;162(4):788–792. doi: 10.1016/j.jpeds.2012.09.037
- Teh SH, Pham TH, Lee A, et al. Pancreatic pseudocyst in children: the impact of management strategies on outcome. J Pediatr Surg. 2006;41(11):1889–1893. doi: 10.1016/j.jpedsurg.2006.06.017
- Chang Y-J, Chao H-C, Kong M-S, et al. Acute pancreatitis in children. Acta Paediatrica. 2011;100(5):740–744. doi: 10.1111/j.1651-2227.2011.02158
- Russell KW, Barnhart DC, Madden J, et al. Non-operative treatment versus percutaneous drainage of pancreatic pseudocysts in children. Pediatr Surg Int. 2013;29(3):305–310. doi: 10.1007/s00383-012-3236-x
- Ratan SK, Rattan KN, Rohilla S, Magu S. Cystogastrostomy: a valid option for treating pancreatic pseudocysts of children in developing countries. Pediatr Surg Int. 2006;22(6):532–535. doi: 10.1007/s00383-006-1674-z
- Rosenfeld EH, Vogel AM, Jafri M, et al. Management and outcomes of peripancreatic fluid collections and pseudocysts following non-operative management of pancreatic injuries in children. Pediatr Surg Int. 2019;35(8):861–867. doi: 10.1007/s00383-019-04492-3
- Jazrawi SF, Barth BA, Sreenarasimhaiah J. Efficacy of endoscopic ultrasound-guided drainage of pancreatic pseudocysts in a pediatric population. Dig Dis Sci. 2011;56(3):902–908. doi: 10.1007/s10620-010-1350-y
- Makin E, Harrison PM, Patel S, Davenport M. Pancreatic pseudocysts in children: treatment by endoscopic cyst gastrostomy. J Pediatr Gastroenterol Nutr. 2012;55(5):556–558. doi: 10.1097/MPG.0b013e3182574fc9
- Patty I, Kalaoui M, Al-Shamali M, et al. Endoscopic drainage for pancreatic pseudocyst in children. J Pediatr Surg. 2001;36(3):503–505. doi: 10.1053/jpsu.2001.21620
- Sharma SS, Maharshi S. Endoscopic management of pancreatic pseudocyst in children — a long-term follow-up. J Pediatr Surg. 2008;43(9):1636–1639. doi: 10.1016/j.jpedsurg.2008.01.026
- Sokolov YuYu, Efremenkov AM, Tumanian GT, et al. Laparoscopic procedures in children with pancreatic pseudocysts. Pediatric Surgery. 2019;23(5):243–247. (In Russ.) doi: 10.8821/1560-9510-2019-23-5-243-247
- Sokolov YuYu, Efremenkov AM, Tumanian GT, et al. Laparoscopic cyst jejunostomy for large pancreatic pseudocyst in a 4-year-old girl. Pediatrics. Consilium medicum. 2019;(3):78–81. (In Russ.) doi: 10.26442/26586630.2019.3.190598
- Patel PA, Gibson C, Minhas KS, et al. Pancreatic pseudocyst drainage in children by image-guided cystogastrostomy and stent insertion. Pediatr Radiol. 2019;49:1816–1822. doi: 10.1007/s00247-019-04471-9
- Khan Sial G-Z, Qazi AQ, Yusuf MA. Endoscopic cystogastrostomy: minimally invasive approach for pancreatic pseudocyst. APSP J Case Rep. 2015;6(1):4.
- Poddar U, Yachha SK, Upadhyaya VD, et al. Endoscopic cystogastrostomy: Still a viable option in children with symptomatic pancreatic fluid collection. Pancreatology. 2021;21(4):812–818. doi: 10.1016/j.pan.2021.02.004
- Jain AK, Singh SK, Jain S, Agrawal P. Endoscopic Ultrasound-Guided Pancreatic Pseudocyst Drainage in Children: A Case Series. J Indian Assoc Pediatr Surg. 2022;27(4):478–480. doi: 10.4103/jiaps.jiaps_102_21
- Dalal A, Kamat N, Patil G, et al. Usefulness of endoscopic ultrasound in children with pancreatobiliary and gastrointestinal symptoms. Endosc Int Open. 2022;10(2):E192–E199. doi: 10.1055/a-1675-2291
- Ragab KM, El-Kassas M, Madkour A, et al. Safety and efficacy of endoscopic ultrasound as a diagnostic and therapeutic tool in pediatric patients: a multicenter study. Ther Adv Gastrointest Endosc. 2022;15:26317745221136767. doi: 10.1177/26317745221136767
- Solodinina EN, Efremenkov AM, Fomicheva NV, et al. Therapeutic pancreaticobiliary endoscopy in children: case series. Russian Journal of Evidence-Based Gastroenterology. 2022;11(3):44-51. (In Russ.) doi: 10.17116/dokgastro20221103144
Supplementary files








